UNTITLED
Words and Photos by Melanie Sandoval
Melanie Sandoval has always carried a fire that refused to be contained. As a first-generation Mexican American, she grew up in a world that told her silence was safety, that shrinking herself was survival. But Melanie’s truth—the daughter of immigrants, a mother, an advocate—was always too expansive for the boxes placed around her.
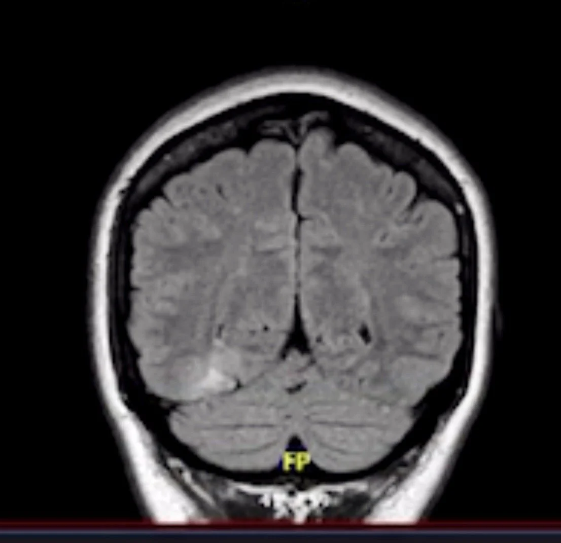
Her journey took an unexpected turn in 2022, when she was diagnosed with a brain tumor. Living with seizures and the realities of a disability could have silenced her, but instead, it deepened her calling. Melanie understood firsthand what it meant to feel overlooked, erased, or unseen by systems not designed to hold the fullness of her humanity.
Motherhood and disability became her teachers. Through them, she realized that every family deserves to be honored in their wholeness— especially during the sacred transition of birth. Too often, families of color, disabled parents, and marginalized communities are told to minimize themselves, to accept less, to fit into spaces too small to contain them.

